もしあなたが悩んでいるなら、
この出会いがあなたの人生を変える キッカケになるでしょう。
私たちの約束
あなたは、歯がキレイになれれば、今よりも、笑顔で毎日を楽しめますか?
私たちの使命は、短期集中治療を通じて、笑顔にみちあふれた毎日を楽しんで頂くことです。
さらに、「短期間・少回数」「痛みを感じさせない」「1回目の治療で口元をキレイに」をモットーに、日本一痛くない歯医者を目指しています。
私たちは、ボロボロの虫歯の治療を得意とする歯医者です。
ボロボロの歯で悩んでいる人を全力で助け、
「大宮アルティマ歯科に出会えてよかった!」「歯医者への意識が変わりました!」と喜んで頂くことが、何よりの喜びです。
ほとんどの方にとって、ボロボロの虫歯治療は、未経験であり未知のことがたくさんあることでしょう。
どんな歯の状態であっても関係ありません。
もちろん、痛みや腫れがある場合は、即日応急処置を行います。
当院では、点滴を使って、眠っている間に治療することも可能です。
まずは、このサイトを最後までお読みください。(時間がない方は、ブックマークしておいてください)
最後までお読みいただければ、今すぐどのような治療ができるのかがわかり、あなたにとって、最適な治療方法がおわかりいただけるでしょう。
その上で、もし私たちに相談されたいという場合は、遠慮なくLINEやお電話(無料)でご相談ください。なお、無理な勧誘は一切ありませんので、ご安心ください。
あなたを歯のストレスから解放することをお約束します。
統括院長 石井宏昌

はじめまして、ボロボロの虫歯治療を得意としている、統括院長の石井です。
ボロボロ虫歯診療に携わり17年、インプラント、審美歯科に携わり20年が経ちました。
これまで1万人以上の患者様を拝見してきた中、様々な相談を受けて来ました。
その中でとても多くお聞きしたことは
・子供の頃にトラウマがあり、歯医者嫌いで歯医者に行けなくなった
・仕事で忙しくて、歯医者に定期的に通う時間がない
・他院では手に負えないと治療を断られた
という事でした。
そんな方たちの力になりたい。
歯の治療を通して歯が健康だったころの自分を取り戻してもらいたい。
その一心でボロボロ虫歯の専門院を作りました。
一人でも多くの患者様のお力になれば幸いです。
- 小さい頃、歯医者さんに怒られ怖くなった。
- あまりの痛さに失神してしまった。
- 涙が出るほど痛かった。
- 歯医者に行く時間がない。
- 忙しくて、定期的に歯医者に行けない。
- 平日に数ヶ月以上も通い続けるのは厳しい。
などという理由で、痛みがないからと言って、あなたは、虫歯を放置してしまってはいないですか。
もし、歯医者に行かなくて、虫歯をそのまま放置してしまうと、歯はさらに悪化してしまいます。
気がつくと、歯がボロボロになってしまい、何本も虫歯になってしまっているなんてことにもなりかねません。
こうなってしまうと大変です。
歯医者さんに見せると怒られてしまうのではないだろうか、と心配になり、余計に行けなくなってしまうかもしれません。
こうして、歯医者に行けない→虫歯を放置→虫歯が悪化という、悪循環のスパイラルに入ってしまいます。
中には、10年近く歯医者に行かないままになってしまい、歯がボロボロになってしまったという方もいることでしょう。
この状態までくると、せっかく歯医者さんに行っても、入れ歯しか選択肢がないと言われたり、処置が遅すぎると口腔外科での入院治療という場合もあります。
さらに放置していると、虫歯の菌が死んだ神経の中で拡散し、顎の骨や全身にまで広がり激痛を引き起こすことになります。
こんなことにならないためにも、しっかりとした治療をしなければいけません。
その意味で、当サイトにたどり着かれたのは、まずは大きな前進をされたことになります。
まず皆さんが考えられるのは近所の保険治療の歯医者ではないでしょうか。
日本の国民皆保険制度は大変素晴らしい制度です。
どなたでも一定の歯科治療が受けられるのですが、その保険診療には最大のデメリットがあります。
それは保険診療の場合、厚生労働省の指導の下、1ヶ月以内の診療点数の上限があり、
それ以内に抑えるように治療しなければなりません。
そのため当然のように、治療が長期化します。
歯の悩みから今すぐ解放されたいと思っても、今すぐには保険治療では治らないのです。
結果、複数の虫歯を治すには、1年以上がかかります
あなたが本当に望むのは、
すべての虫歯を短期集中して同時に治療することだけでなく、自然な歯の状態で口元全体をきれいに治療することで、人目を気にせずに笑顔になれることですよね。
そして何より、
あなたが本気なら、目指すのはもっと先のはず。
ズバリ、今すぐに、すべての歯の悩みから解放されることでしょう

そこで、誕生したのが、
ボロボロの歯の状態を1回目の治療で、歯の痛みや腫れだけでなく、歯の大きさ、色、形、歯並びまでをすべてきれいにし、最短2回で自然な状態にする”カスタムセラミック法”という治療です。
|
|
|
|---|---|
|
どんなボロボロの歯にも対応 私たちは、ボロボロの歯の方の治療を得意にしているために、通常の虫歯ではない、何年も放置されたどんなボロボロの歯でも、対応することができます。 |
![]() |
|
|
|
|---|---|
|
1回目の治療で痛みも見た目がきれいに 私たちは、1回目の集中治療によりすべての虫歯を治療した後で、白いきれいな仮歯(プラスチック製)をかぶせるので、初回来院時に、痛みも見た目もきれいな口元になります。 |
![]() |
|
|
|
|---|---|
|
時間がない方の向けの短期治療 2回目に、前回かぶせた仮歯をセラミックの歯に取り替えて、自然な歯の状態になります。最短2回で、治療完了となります。 |
![]() |
※上記の〇、×は、歯医者の判断で変更できるかどうか、です。
なぜ、大宮アルティマ歯科に相談が殺到するのか?

歯がほとんど残っていない方や
入れ歯が全く合わない方は
オールオン4がお勧め

オールオン4を検討されている方に朗報!!


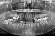
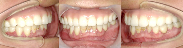
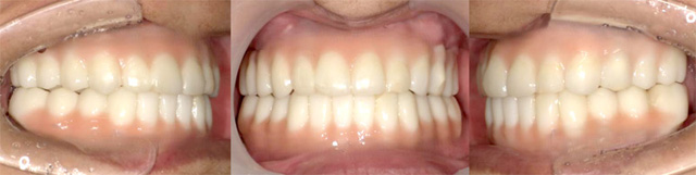
オールオン4の治療例:1
治療前


治療後


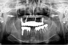
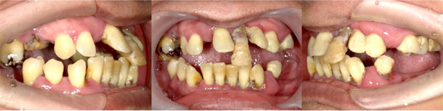
オールオン4の治療例:2
治療前


治療後


|
|
|
|---|---|
|
あなたの理想を追球した口元のトータル治療 私たちは、初回に60分のカウンセリングの場を設けて、あなたの理想とする口元の状態を確認し、治療計画にご納得して頂いた上で、治療を開始します。※痛みや腫れがある方で、お申込みの場合は、カウンセリング当日に応急処置を行います。 |
![]() |
|
|
|
|---|---|
|
チクッの痛みも感じさせない工夫 私たちは、治療中の痛みはもちろんのこと、麻酔の針を刺す瞬間の痛みや麻酔を入れている間のわずかな痛みまでも、徹底的に取り除くことに最大限の配慮を行っています。そのため私たちは、次の4段階麻酔法を採用しています。
麻酔シールを貼ることで、麻酔注射を刺すところの皮膚の感覚をなくします。
麻酔の針の細さを通常の歯科医院の針の太さ(0.4ミリ)ではなく、鍼灸院の針の細さと同じもの(髪の毛くらいの細さの0.28ミリ)を利用することで麻酔針の挿入時の嫌な感覚も感じなくなります。さらに、歯科専用の電動麻酔注射器を利用することで、注射の痛みの主要因である麻酔の注入スピードによる余計な圧力を和らげ、ゆっくりと痛くないように麻酔を注入できます。
一番痛くないところ(頬と歯茎の境目)に注射し、麻酔注射の痛みを徹底的に取り除きます。
ここまで来て、初めて、麻酔の注射を患部に必要な分量を注入していきます。なお、治療中に万が一痛みがある場合には、即座に治療を中断します。また、定期的にうがい休憩の時間を設けて、精神的にも疲労がたまらない治療を目指しています。 それでも怖い!という歯科恐怖症の方へ
静脈内鎮静法とは?静脈内鎮静法(セデ―ション)とは、鎮静薬を静脈に点滴する精神鎮静法の一つです。 「歯医者が苦手」「歯科治療が怖い」という患者様も少なくありませんが、静脈内鎮静法を併用することで、快適に治療を受けていただけます。
|
|
|
|
|---|---|
|
全額返金保証付き 治療を受けてみて、途中で、「自分には無理そう」「思っていたのと違った」と感じたら、お申し込みから30日以内であれば、どんな理由があろうとなかろうと、治療費を全額返金します。新しい一歩を踏み出す時には不安がつきもの。
|
その理由は、
私たちが、なかなか治療に行けない方のために、治療期間や治療回数が最短になるように治療計画を組むからだけではありません。
私たちが、歯の寿命という観点から、できる限り歯を抜かずに現存の歯を生かしていくという、見た目だけでなく健康面にまで配慮した治療をしているからだけでもありません。
私たちが、治療が必要な歯を全部同時進行で治療していくという、スピーディーな対応はもちろんですが、それだけでもないのです。
私たちが、支払い方法に関して、現金一括支払いだけでなく、少しでも多くの方の人生を変えたいという思いで、分割払いとして、院内分割、クレジットカード分割、ローン分割など様々な支払い方法に対応しているからだけでもないのです。
あなたが歯並びのことで悩んでいて、どこに相談しようか、迷っているならまずは私たちに相談するべきだと主張させていただく本当の理由は・・・
私たちが、最新のCT機器を用いることで、mm単位で神経との距離を把握でき、歯の神経を出来るだけ残す治療を心がけているからです。
さらに、CTに加えて、セファロや光学3Dスキャナー等の最新機器を組み合わせることで、歯を削る量をmm単位で調整することができ、削る量を最小限におさえて、痛みや見た目だけでなく、数十年先までの歯の健康、寿命までも考えた"歯に優しい虫歯治療"を追求しているからです。
その結果として、たくさんの方から大宮アルティマ歯科に高い評価を頂けていると自負しています。
人によって、歯の状況や歯並び、噛み合わせなどが大きく異なるため、全く同一のケースというものはありません。
だからこそ、歯の治療にあたっては、きちんとその治療方法があなたにとって、適切なのかを判断してください。
普通ならここまでは言いません。
でも、歯医者に行く時間がなく、放置してしまった虫歯の治療は、初めの対応を一歩間違えてしまうと総入れ歯になってしまうなど、今後の人生に大きく影響してしまうのも事実です。
あなたが本当に望むのは、一刻も早く、歯の悩みや不安から解放され、将来のストレスもなく、今すぐに理想的な歯の状態を手に入れることではないでしょうか。
だからこそ、0.1mm単位まで追求し、歯の神経を出来るだけ残す努力をした上で、治療中の痛みや歯を削る量を最小限におさえ、治療の後の歯の状態まで考えている、本当の専門家の私たちに、ご相談して頂きたいと思います。
それでは、大変おまたせしました。
実際に私たちに相談する方法をお伝えさせていただきます。
虫歯相談はLINEからと
WEBからの2通りがあります。
どちらか最適な方をお選び下さい。
|
|
一人で悩んでいたら時間がもったいない!
まずは、無料院長相談を利用ください
ご連絡いただくとこのような流れになります。
実際のやり取りをイメージしてみてください。


このような流れで展開していきます。
安心してご連絡ください
実際に「どれくらいの期間とお金で、どのようになるのか」が明らかに!
あなたの人生を変えるカウンセリング当日の流れ
※無料だからといって、出し惜しみをするつもりは全くありません。 私たちが提案する治療は、あなたの理想へ向けた貴重な第一歩です。 理想的な状態に変わるまでの治療の流れを体感してください。
![]() |
|
|
LINE・WEBから予約 LINEで相談してみて、実際に面談で相談したいと思った場合は、来院カウンセリング(痛み・腫れのある方は当日応急処置)の予約を行ってください。 |
![]() |
![]() |
|
|
無料カウンセリングへ 事前に予約した日時に来院ください。 |
![]() |
![]() |
|
|
問診・CTスキャンの撮影 歯・口元に関する悩み、理想とする状態などをヒアリングした上で、歯の状況や神経の場所などを詳細に診断します。 |
![]() |
![]() |
|
|
口元の改善プランの提案 あなたの理想的な状況になるまでの治療プランをご提案します。 |
![]() |
![]() |
|
|
スケジュール・料金・分割の確認 スケジュール(来院の回数・治療完了時期の目安)、料金及び支払い方法について、ご説明します。 |
![]() |
![]() |
|
|
契約・支払い方法の決定 治療をご希望の方は契約書にサインをして頂きます。少し考えたい方は、後日ご連絡をください。※痛み・腫れのある方は、当日に応急処置します。 |
![]() |
![]() |
||
|
初回検査・初回集中治療 当日又は後日、初回検査を行います。CT、セファロ検査、レントゲン等の検査を行い、詳細な治療計画を決定します。 カウンセリングを受けた後、すぐに決める必要はありません。ちょっとでも迷うようであれば、お家に帰ってよく検討してみてください。家族や友人に相談するのも良いと思います。 |
![]() ![]() |
|
セラミック、インプラント、
インビザライン治療を受けられる方へ
■治療の目的
患者様が希望される部位の虫歯治療、噛み合わせの回復、審美改善を目的とします。
■虫歯治療の内容及び注意事項
・歯の表層を削りその部分に人工の歯を被せる、または貼り付け、歯の並び、大きさ、形、色、かみ合わせ、などを人工の歯によって補います。
・虫歯が大きい場合やセラミック矯正で歯の軸を変える必要が有る場合には、歯の内部の神経を取る必要が有ります。麻酔が切れてから痛みが生じる場合もありますので、その際は痛み止めを処方させて頂きます。
・治療には段階があります。最終人工歯を仮着けして、約1週間〜1か月間状態の確認をいたします。
・その後は担当医の指示に従いメンテナンスが必ず必要となります。
・処置には麻酔を行います。治療後に麻酔針の刺入点が腫れてくる場合があります。その際は塗り薬を処方しますので、お申しつけ下さい。
・金属、セラミック(陶材)、レジン(樹脂素材)、などのアレルギー、服用中のお薬がある場合は必ず担当医に申し出てください
■インプラント治療の内容及び注意事項
・インプラントの人工歯根は、骨の中に入れてから最短でも3ヶ月経ちませんと骨と結合しません。そのため、被せ物の型取りは人工歯根を入れてから3か月後になります。ただし、人工骨を併用した場合は骨との結合に3ヶ月以上かかる場合もありますのでご理解頂きたいと思います。
・人工歯根の材質はチタンで出来ています。チタンは金属の中で一番、生体親和性に優れていますがまれにお体に合わない場合があります。その場合はブリッジや義歯に変更させて頂くこともありますので、その際は担当ドクターと患者様と相談の上、治療計画を変更させて頂きます。
また、インプラント治療の成功率は98%と言われておりますが、術後に細菌感染を起こしますと骨と結合しない場合があります。その場合は無償で人工歯根を入れ治させて頂きます。
煙草を吸う方は、人工歯根を骨に入れる処置後に1週間禁煙していただきます。その理由は、術後に煙草を吸いますと毛細血管が収縮し、縫い合わせた傷口に血液が供給されなくなり、傷が開いてしまいます。1週間の禁煙を守って頂けない場合はインプラントの処置を中止させて頂く場合がありますので、必ずお守りください。
■この治療に伴う合併症と偶発症発生時の対応
(セラミック治療を受けられる患者様も同様)
・麻酔をした部分は場合により血腫(内出血)となります。また、その部分の痛みを伴う場合があります。状態によりますが、通常2日〜1週間ほどで治ります。
・麻酔をした周囲部分は、麻酔後数時間麻痺状態となるため注意が必要です。食事などは唇や頬などを噛んでしまう恐れがありますので、麻酔後数時間は避けてください。また、数時間経過後も麻痺状態がある場合は食事など損傷を生じる行為はできません。
- 基本的に歯の神経を保存する方法で治療を行いますが、虫歯が大きいと神経をとることがあります。
(治療前に歯科医師から説明あり)
審美的改善において美の基準は平均値であり、患者様本人の要望による美の基準で治療するわけではありません。しかし、できうる限りの要望は最終人工歯や人工物に反映できるように努力いたします。 - 治療中、神経への冷たい刺激、暖かい刺激または接触などにより、痛みが生じることがあります。
痛みが継続するときは、状態を確認した上で、歯の神経の治療が必要となる場合があります。
・また、治療後に、腫れや浮腫みが生じることがあります。通常1〜2週間程度で徐々に回復します。
(回復には個人差があります。腫れや浮腫みなどが回復しない、または悪化しているなどの場合は、お早めに当院にご相談ください。)
・ 定期クリーニングは治療後の口腔内を快適に過ごすことにおいて最も重要な処置となります。
定期クリーニング6か月に1回、費用は5,500円(税込み)
■保証、治療中断
・ダイヤモンドセラミッククラウン、オールセラミッククラウン、ハイブリッドセラミッククラウンには通常使用において保証が最終人工歯のみにつきます。
・ダイヤモンドセラミッククラウンの保証期間は最終人工歯が接着された日から3年、その他、オールセラミッククラウン、ハイブリッドセラミッククラウン、セラミックインレー、フルジルコニアの保証期間は最終人工歯が接着された日を含む2年間です。
・インプラントの場合、人工歯根は5年、被せ物は3年の保証が付きます。保証期間中でしたら無料で再治療をさせて頂きます。
・保証方法は再治療による人工歯の再作成です。それ以外の方法は基本的に保証方法としません。
・最終人工歯が歯に接着された段階でセラミック治療は終了となります。
・セラミック治療終了後、6か月に1回定期的なクリーニングが必ず必要となります(費用別)。定期的なクリーニングは担当医の指示に従ってください。定期健診代として5,500円(税込み)です。
定期クリーニングにこられない場合は保証の対象外となりますのでご注意ください。
- 一般的な生活においての人工歯の破損は保証の対象となります。事故または故意による破損、外傷、食物以外を咬む、指示通りの定期クリーニングを受けていただけない場合、そのほか担当医の指示に従えない場合、保証の対象外となります。
- セラミックの本着後は、いかなる理由があっても無償のやり直しは対応できません。追加費用が発生しますのでご理解ください。
- 症状により予後が予測できない場合は保証の対象外となる場合が稀にあります。
その場合は治療前事前にご説明いたします。 - 治療予約のキャンセル、変更は予約日の前日18時までに当院にお電話ください。(どうしてもお電話が難しい場合は当院のLineにキャンセルの旨をお伝えください。)皆様に出来るだけ早くご予約をお取り頂きたいと思っておりますので、どうぞご協力の程よろしくお願いします。
前日の18時までにご連絡が頂けない場合や、当日の無断キャンセルの場合、キャンセル料が5,500円(税込み)掛かります。キャンセル時の次の治療前にお支払い下さい。(お支払いがない場合は治療に入れませんのでご注意下さい。)
1回目の治療
![]() |
|
初回集中治療できれいな口元に
初回に2時間の集中治療を行います。治療が必要な歯を全部同時に治療し、歯を調整して、最後に白くて見た目がキレイな仮歯(プラスチック製)を装着し、初回来院時に、きれいな口元になります。
|
初回治療から、2週間〜1ヶ月

2回目の治療
![]() |
|
歯の根の消毒・お掃除 初回に神経を抜いている場合には、2回目の来院時に、歯の根の消毒とお掃除を行います |
![]() |
|
歯の調整・仮歯の調整・歯型取り 仮歯の調整後、歯型を取ります。仮歯と歯型に基づいてセラミック等の被せ物を作成に入ります。 ※希望に応じて、最短で、初回治療時に歯型まで取ることもできます。 ![]() |
歯型取りから、2週間〜1ヶ月

3回目の治療
![]() |
|
|
セラミックを被せて治療完了 仮歯を外し、セラミックの歯を被せて、自分の歯のような自然できれいな状態になります。 |
|

インプラント、オールオン4の
治療スケジュールに関しては
初回カウンセリング時に詳しくご説明いたします。
当院で治療された方の症例集をご覧ください!
オールオン4の治療例:1
治療前


治療後


オールオン4の治療例:2
治療前


治療後


その他 ボロボロ虫歯の症例


妊娠、出産後に歯がボロボロになってしまった、そんな経験ありませんか?
出産を経験したママさんが「歯が弱くなった」「虫歯が増えた」と感じる方が多くいらっしゃいます。
これは妊娠から出産にかけての体の変化が大きく関係しています。
体の変化にくわえ、育児による生活習慣の変化も影響している場合もあるんです。

- ホルモンバランスの変化
- ・エストロゲン、プロゲステロンの増加:これらは歯ぐきが腫れたり出血しやすくなります。
・唾液の質の変化:唾液の分泌量や質が変わることで、お口の中が酸性に傾き虫歯が増えやすくなります。 - つわりによる影響
- ・おう吐:胃酸が逆流することで歯の表面のエナメル質が溶けやすくなります。
・食生活の変化:特定の食べ物しか受け付けなくなることで偏った食生活になり糖分を多く摂りがちになります。
・歯磨きの困難:歯磨きで吐き気が誘発されるため、十分に歯磨きができないことがあります。 - 産後の食生活の変化
- ・不規則な食事:授乳や夜泣きなどで、決まった時間に食事がとれず、間食が増えることがあります。
・睡眠不足とストレス:免疫力の低下により、お口のトラブルが発生しやすくなります。
・デンタルケアの不足:自分の歯磨きや定期健診がおろそかになってしまいがちです。
出産後は育児に追われて自分のことが後回しになりがちですよね。
これらの要因が重なって、出産後に歯のトラブルが増えてしまいます。
ママさんには自分にかける時間がないですよね?
そんなママさんも安心して通える環境が当院にはあります!!

- プロの保育士が在籍
- 女性ドクターによるママさんに寄り添った治療
- 保育ルームを完備
当院の特徴である、無痛最短治療はもちろんの事、ママさんが安心して通える環境が整っています!
カウンセリング予約時に「女性ドクター希望」「保育士に子供を預けたい」等のご要望をお伝えください。
歯を治療したあなたは…キレイな歯になることは通過点。目指すのは、その先にある毎日が笑顔あふれる人生を楽しんでいただくことです!
料金について
さて、いよいよ気になる料金を説明していきます。
ここまでお読みいただいているということは、
「歯をきれいにしたい」という気持ちをお持ちだと思います。
繰り返しますが、
時間がなく忙しい方や歯医者嫌いの方向けに、短期集中して複数の歯を同時に治療し、"痛みを最小限に抑える"ことに徹底的にこだわりぬいた、歯に優しい虫歯治療です。
歯の痛み、歯茎の腫れの治療だけでなく、歯の色、形、大きさなどをすべて同時に治す治療となります。
あなたがどのような状況にあったとしても、
「変わるんだ」「本当の笑顔になるんだ」という意志さえ持ってきていただければ、
望む未来まで必ず導いてみせます。
長年にわたって悩み、治療に踏み出せずにいるのであれば、その価値は、計り知れないと思っています。
今回、あなたが口元を理想的な状態にすることは、
本来の自分自身の可能性を信じるということです。
本来の自分自身の可能性にかけるということです。
どんなに良い服を着ても、
どんなに高価なブランド物を身につけても、
どんなに髪や外見を頑張ったとしても、
笑った瞬間、すべてが水の泡。
洋服や食事にお金をかけるのもいいですが、
自分自身にこそ、投資しませんか。
自分自身の未来にこそ、お金を使いませんか。
断言します
今すぐカンタンに人生を変える方法。
それは「歯をキレイにする」ことです。
口元がきれいになり、あなたが今を楽しんでキラキラ輝くことによって、
あなたとあなたの家族、そしてあなたの周り、社会全体が、
少しでも笑顔があふれるようになることが私のゴールです。
自分自身を変えるだけでなく、周りの人にも良い影響を与え、笑顔にみちあふれた世界の創造に貢献できる仲間を生み出したいと思っています。
そう考えると、
自分自身への投資だけではなく、あなたの周りや社会全体への投資でもあるのです。
あなたが今、どのような状況であっても関係ありません。未来は選べます。自分の選択次第です。
「よし、変わるぞ」という気持ちだけ持ってきてください。私と一緒に、新しい自分に生まれ変わりましょう!
これだけの金額を自己投資するだけで、たった1ヶ月で新しい自分に生まれ変わり、今後の人生を歩んでいけるのであれば、これほど費用対効果の良い投資は本当にないと思います。
| フィクスチャー(本体) | 上部構造(被せ物) | |
オステムインプラント
|
17万円 | 15万5千円 |
ストローマンインプラント
|
27万円 | 15万5千円 |
さらに!
「笑顔になって人生を変えたい!」という想いを
応援するべく、ローンで120回分割という
分割プランもご用意しています。
最大120回という分割を活用すれば、
月々、なんとなく行っている飲み会代や、携帯代、衝動買いをした洋服代相当で、
あなたは、笑顔に自信を持った理想の自分を手に入れることができるのです。
何に、お金を使うか、本当にあなたの気持ちひとつです。
今の生活を大幅に変えることなく、ご自身のペースで治療することが可能です。
そして、そして、
一人でも多くの方にご利用いただき、本当の笑顔を取り戻していただきたいため、満足保証をご用意しました
医療費控除Medical expense deduction
医療費控除とは、年間に支払った医療費が10万円を超える場合に所得税の確定申告時に申請することで、所得税の控除が受けられる制度です。
歯科治療費も医療費控除の対象となり、医療費の申告をすると税金の一部が戻ってきます。
生計を一つにする配偶者、その他の親族の医療費を10万円以上払った場合には、税金が軽減されます。
成人の場合は、医師の診断書が必要となります。診断書をご希望であればお申し出ください。
医療費控除額(最高200万円)=
(年間医療費支出額(※1)−保険金等で補填される金額(※2))−(10万円と「所得金額の5%」とのいずれか少ない金額)
※1:年間(1月1日〜12月31日)に支払った医療費の総額
※2:生命保険や健康保険などで支給される、入院給付金や家族療養費など
医療費控除の例
ある患者さんの歯科治療に年間40万円かかった場合は、医療費控除の対象額は、計算より
40万円−10万円=30万円となります。
年間の課税される所得金額が600万円の場合、30万円×20%=6万円分の税金が免除されます。
つまり、実質治療に要する費用は…
40万円(治療費)−6万円(免除分)=34万円(実質的治療費)
…で済むことになります。
どこまでが「家族」の範囲に含まれますか?
本人、配偶者、子ども、孫、両親、祖父母、兄弟姉妹などです。ただし、生計を共にしていた家族に限ります。
扶養家族ではない共働きの夫婦も医療費を合計して申告できます。
一緒に住んでいなくても、仕送りをしている家族の場合は生計を共にしているので医療費を合計できます。
「1年間に10万円」の詳細
1月1日〜12月31日までの期間で、医療費が家族で合算して10万円を超えた場合を指します。
出産育児一時金、医療保険の入院給付金等を受けた場合。高額介護サービス費等の支給を受けた場合は、それらを差し引いた後の金額で判断します。
直接的な治療以外で控除の対象となるもの
病気の治療のためにお医者さんでかかった費用、薬局などで薬を購入した費用が対象となります。
通院・入院のために親が付きそった場合の交通費も対象です。
年間医療費と収入による減税(還付)金額

- ワンポイント
- 確定申告は5年前までにさかのぼって還付を受けることが可能です。
申告を忘れていた方や医療費が控除対象になることを知らなかった方は、可能な範囲での申告をお勧めします。
また、年をまたいで分割で医療費を支払うより、1年間支払った方が還付金が多くなる場合があります。
自由診療(保険外治療)も医療費控除の対象となりますので、確定申告をすることで治療費を抑えることが可能です。
歯科治療における医療費控除
医療費控除の対象となる治療や関連費用の例
- 虫歯や歯周病(歯槽膿漏)の治療費
- 親知らずの抜歯
- インプラントの費用
- 入れ歯の費用
- 自由診療の治療費(金歯、金冠、メタルボンド冠、セラミックのクラウンなど)
- 発育段階にある子どもの歯並びの矯正
- 成人の噛み合わせ改善治療の矯正
- 歯科ローンにより支払った治療費(金利・手数料を除く)
- 通院、入院のための電車、バス、タクシー代
- 幼い子どものために親が付き添って通院した場合の交通費
- 薬局で購入した歯痛止めなどの医薬品
医療費控除に該当しない治療・関連費用の例
- 歯を白くするためのホワイトニング治療
- 歯科ローンの金利、手数料など
- 通院時に交通機関ではなく自家用車を使用した場合の駐車料金、ガソリン代
医療費控除の申請に必要なもの
医療費控除の申告には、次のものが必要になります。事前にご用意ください。
- 確定申告申請書(※税務署のホームページからプリントアウトできます)
- 医療費の領収書
- 医療費控除の対象になる通院交通費などの領収書、または支払明細
- 源泉徴収票(※前年度の収入がある方のみ)
- 還付金の振込先に指定する銀行口座の通帳
- 印鑑
上記書類をお住まいの地域を管轄する税務署に提出すれば、医療費控除の申請は完了です。
一人で悩んでいたら時間がもったいない!
まずは、無料院長相談を利用ください
































オエッと嘔吐反射する方や怖すぎて歯医者に行けないという方には、眠っている間に治療を行うことが可能です(静脈内鎮静法)。ぜひ、遠慮なくお申し出くださいね。


























私は、小さい頃、親が仕事で忙しく、おばあちゃんに育てられました。
私は、そんなおばあちゃんを喜ばせてあげたい、入れ歯になる前の日常生活に戻してあげたいという強い思いから、 自然と歯医者の道を目指していました。


2006年 神奈川歯科大学卒業















